What is it?
A carpal boss is a bony lump which appears on the back of the hand at the junction between the wrist and the hand, known as the carpo-metacarpal joint. It is common and completely harmless.


What are the symptoms?
Usually, a hard swelling can be seen or felt over the back of the hand. This becomes more prominent when the wrist is flexed, as above on the left. The lump is often tender if knocked, and can be painful from time to time, but in the long run is usually painless. The tendons to the index or middle fingers sometimes ‘snap’ over the lump when the fingers are flexed and extended.
Why does it occur?
A carpal boss is the result of degenerative changes at the joint between the wrist and hand bones. The body’s response is to form new bone or bony spurs. This forms the prominence that is seen or felt. The exact mechanism of why this occurs is not entirely clear, but can be as a consequence of trauma. It is typically seen in young adults between 20 and 40 years of age.
What is the natural history?
Most people are only troubled if the condition causes pain and this is rarely a significant problem. It is a benign condition, and the size of the lump does not usually change once it has developed.
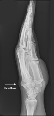
How it is diagnosed?
The diagnosis of a carpal boss is made on clinical examination. X-rays and sometimes a CT or MRI scan may be performed to confirm the diagnosis.
What are the treatment options?
Conservative measures
A carpal boss requires no treatment. As it is a benign condition which causes no harm, then the usual recommendation is to leave it alone. Pain from the boss can make people feel that something must be done about the problem, but pain from the condition is far more likely to burn out with time than to persist.
Pain is the body’s defence mechanism to alert the brain to the possibility of harm. Pain is usually a protective mechanism and helps people avoid burns and cuts, or alerts to something which has ‘gone wrong‘ in the body. Pain from a carpal boss can, therefore, make people worry about the lump – and this worry usually has two forms:
1) If the lump is painful now, what will it like in a year or two?
Generally speaking pain from a carpal boss burns out with time, and the chances of symptoms being much worse in a year or two are slim.
2) If it is painful to use my hand, am I doing any harm by using it, and should I rest it?
Actually, there is no harm in using a hand with a carpal boss as you normally would. Normal use of the hand and wrist does not cause the condition to worsen.
So it is quite safe to use your hand normally and to do usual activity despite any pain or discomfort.
Operative treatment
Operative treatment is offered where there is a significant mechanical problem with the tendons clicking over the back of the wrist. The operation is fairly straightforward – the extra bone at the back of the wrist is removed with a surgical chisel. This leaves a large raw area of bone and it often takes some months for the wrist to settle after this operation.
Although surgery deals with the mechanical problem, it does not usually provide good pain relief, and patients have a very mixed satisfaction rate from this operation a year after their surgery.
For these reasons, our usual strong recommendation is to avoid an operation. You can read more about the risks of surgery here.

© Fife Hand Service 2023