What is wrist arthritis?
The term ‘arthritis‘ is used to describe a swelling in a joint. There are many different types of arthritis, and osteoarthritis is the most common. It is also known as ‘wear and tear’ arthritis, although is rarely a result of how much the wrists are used, and far more commonly a result of the normal ageing process and genetics. Osteoarthritis in the wrist is also commonly a result of injury to the joint, and this is known as ‘secondary osteoarthritis‘.
The wrist is the most complex joint in the body. It is made up of eight small bones (carpal bones) and many ligaments, all arranged in a manner to allow a large range of motion.


What causes wrist arthritis?
The most common type of osteoarthritis seen in the wrist joint is a result of the ageing process and genetics. This type of arthritis may target a specific area in the wrist, particularly the joint between the scaphoid, trapezium and trapezoid. Secondary osteoarthritis is more commonly seen following trauma or injury to the wrist, often many years after the initial injury. This initial injury can be a fracture of the radius bone, a fracture of the scaphoid, or an injury to the ligaments between the bones of the wrist.
Other inflammatory conditions such as Rheumatoid arthritis can also give rise to wrist arthritis.
What are the symptoms?
Many people with osteoarthritis of the wrist have no symptoms, and we often see the condition by accident when the wrist is X-rayed for another reason. Symptoms of osteoarthritis include pain, swelling and stiffness. Again, these can be variable in their severity with most patients being able to manage normally without the need for intervention.
Symptoms may be exacerbated following a minor injury and a flare up of arthritis may occur.
What is the natural history?
Most cases of osteoarthritis are very stable when they present – the arthritis may be well developed, and little or no change is seen on X-rays taken a year or two apart. In such cases, symptoms generally improve with modifying the activities that initiate the symptoms.
In a minority of patients, pain becomes a problem, and in time, patients may develop difficulty with dexterity and grip strength. Some patients are left with some long-term stiffness, and reduced movement, but the vast majority of patients cope very well with this.
How is the diagnosis made?
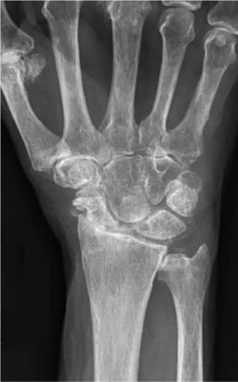
After your hand and wrist has been examined, an X-ray usually determines the degree of damage to the wrist. However, as is often the case, the findings on the X-ray may not correlate with the findings on examination. Some patients may have severe arthritis on their X-ray, yet have very mild symptoms.
X-rays normally show a gap between the bones, as the bones are lined with smooth cartilage, which doesn’t show up on an X-ray. If the cartilage is reduced or absent, the gap between the bones is also reduced, and the ends of bones rub against each other. The body tries to react by making more bone at the edges of the joint. Within the wrist joint, inflammation may develop and this may be painful.

What are the treatment options?
Non-operative treatment
Pain is the body’s defence mechanism to alert the brain to the possibility of harm. Pain is usually a protective mechanism and helps people avoid burns and cuts, or alerts to something which has ‘gone wrong‘ in the body. Pain from osteoarthritis can, therefore, make people worry about their hands and wrists – and this worry usually has two forms:
1) If my hands and wrists are painful now, what will they be like in a year or two?
Although slow deterioration is usual with osteoarthritis, generally speaking pain burns out with time, and the chances of symptoms being much worse in a year or two are slim.
2) If it is painful to use my wrists am I doing any harm by using them, and should I rest them? Actually, there is no harm in using wrists that have arthritis as you normally would. Normal use of the hand and wrist does not cause the condition to worsen – ageing and genetics are responsible for the rate of deterioration.
So it is quite safe to use your hands and wrists normally and to do usual activity despite the pain. With this reassurance, many people do not require any treatment for their arthritis. If the pain is preventing normal use, then the following steps can be useful:
- Splints – sometimes immobilising a joint will allow the hand and wrist to work comfortably
- Physiotherapy – working to maintain movement can delay the onset of stiffness
- Simple painkillers – Although painkillers can be useful from time to time, the routine use of painkillers is not recommended. All painkillers carry a risk from the side effects, and although some painkillers such as ibuprofen can be effective for this type of pain, regular use can give rise to complications such as a stomach ulcer or cardiac problems. Stronger painkillers can be addictive and are not recommended.
- Steroid Injection – Steroid injections can provide pain relief for a single troublesome joint, by reducing the inflammation in the joint. Steroid injections can be given to wrist joint, however, these injections carry a risk and do not usually provide anything other than short term pain relief. See our information sheet on Having a steroid injection.
What operations can help?
Wrist denervation: This is thought to help by dividing the nerves that innervate the lining of the wrist joint (wrist joint capsule). It does not divide the important nerves that give your wrist and hand sensation or movement.
Proximal row carpectomy: This involves removing the three bones from the wrist (scaphoid, lunate and triquetrum) and permitting the capitate bone to move with the end of the radius bone. Not all degrees of arthritis are suitable for this procedure.
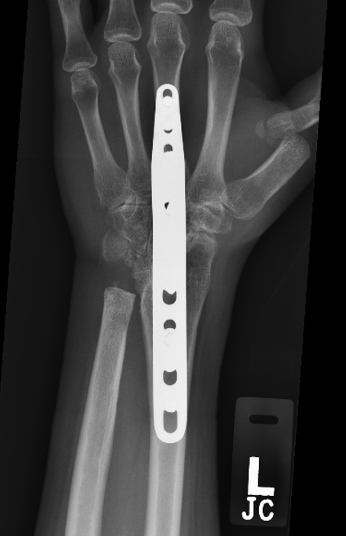
Fusion operations: Fusion is the term given whereby the joint is removed and the bones either side are pinned and held together, so that the bones heal as one piece. The wrist can be partially or fully fused. These operations sacrifice movement of the wrist for pain relief. This is usually the most reliable and predictable treatment for intractable wrist arthritis with up to 85% satisfaction.


Wrist replacement: Wrist replacement surgery is becoming increasingly accepted as an option for patients with wrist arthritis. There are medium term reasonable results from wrist replacement, although the long-term results are not reliable as yet. We do not offer this operation in Fife, but hope to be able to refer appropriate cases to a centre offering the surgery soon.

© Fife Hand Service 2023