What is a perilunate dislocation?
This is a severe injury to the ligaments of the wrist which results in dislocation of the wrist around the lunate bone. In order to understand the injury, some understanding of the anatomy of the wrist is needed!

The lunate bone sits in the middle of a row of 3 bones, and is very firmly bound to the bones on either side by the scapholunate and lunotriquetral ligaments. These ligaments are short but very strong. They bind the lunate bone in its pivotal role at the centre of the wrist.
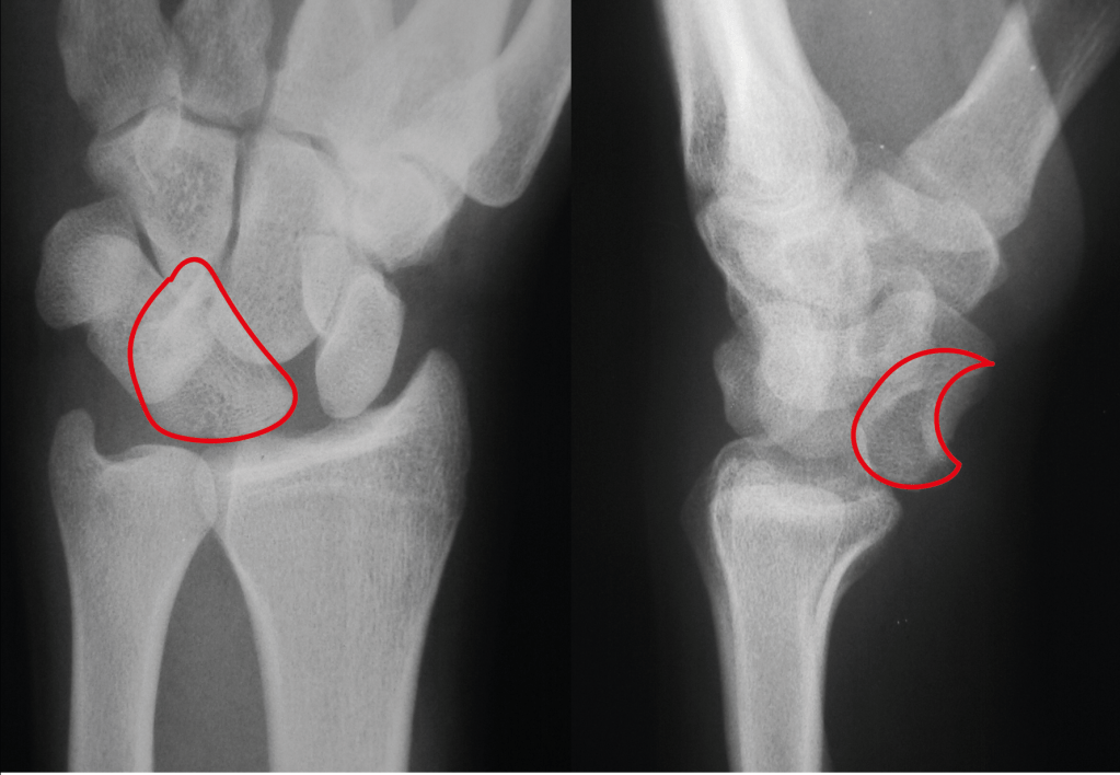
The bones of the wrist can be seen on the X-ray below:

This is a normal wrist X-ray. The lunate bone is outlined in red – this bone is named from “luna”, the latin word for moon – you can see on the right side view X-ray that the bone is shaped like a crescent moon on its side. The curve of the lunate points upward.
In a perilunate dislocation, the ligaments of the wrist are disrupted, and the lunate bone is pushed forward, dislocating out of its usual position:

An X-ray of a wrist with a dislocation of the lunate bone shows the bone sitting in front of the other wrist bones and pointing at 90 degrees to its normal position.
Why is it called a perilunate dislocation?
The mechanism of this injury starts with the wrist bones dislocating around the lunate, leaving the lunate sitting in its normal position, hence the name. As muscles contract the alignment of the dislocated bones pulls back into their normal position, and this pushes the lunate forward into its dislocated position.
What causes a perilunate dislocation?
It takes considerable force to tear these wrist ligaments, and broken bones around the wrist are far more common, often with far less force applied. The injury is usually seen in patients who have come off a motorbike or downhill mountain bike, and put their hand out to break their fall – twisting on the hand as they go down.
What is the treatment?
A perilunate dislocation requires urgent treatment. This is a very painful injury. The hand and wrist are usually very swollen and there is often injury to the other soft tissues of the hand and wrist. One of the big nerves to the hand, the median nerve, is stretched by the dislocated lunate bone and this nerve can malfunction when the wrist dislocates, producing numbness and tingling in the thumb and fingers.
In the Emergency Department
The injury is usually picked up on an X-ray, and will be referred to the Orthopaedic Registrar. If there are signs of nerve malfunction, then the registrar will attempt to manipulate the wrist back into its normal position. This is usually done with heavy sedation and analgesia on board. If this manipulation is successful, then a plaster bandage is applied and patient admitted to an orthopaedic ward for surgery to the wrist.
If unsuccessful, the emergency theatre will usually be booked to deal with the injury straight away.
In theatre
The aim of treatment is to make sure that the lunate bone is put back into its usual position and to restore the normal relationships with the bones on either side. This will usually involve repairing the ligaments and passing metal pins across the bones to hold them still while the ligaments heal. Sometimes, the median nerve has to be explored to ensure there is no residual pressure on it.

After the operation
The pins and plaster are usually on for around 10-12 weeks. A further day surgery admission is needed to remove the metal pins under local anaesthetic. Once the pins have been removed, mobilisation of the wrist can commence.
How long does it take to recover from the injury?
It takes around 6 months for the wrist to heal to the extent that it is safe to use fairly normally. Few people with this injury are able to use it normally at this stage because it is often stiff and swollen for a year or so. All the damaged structures heal with scar tissue, which is much bulkier than normal tissue, making the wrist look about a third thicker than the normal wrist. As the scar tissue remodels and matures, it slowly becomes less bulky, but never really settles to normal, and the wrist is permanently slightly swollen compared to the other side.
What will my wrist be like after this injury?
Even although the ligaments are repaired, they never work the way they did prior to the injury, and this has a major impact on function. Once the wrist has fully healed from the injury, it has only around two thirds of its normal movement. Although it is generally pain free at rest, many people report discomfort on heavy loading of the wrist, and grip strength is again generally reduced. Most people recover well enough to return to their usual job, but the injury has an impact on ability to return to usual sport at the usual level.
Are there any complications of this injury?
The most common problem arising after this injury is arthritis of the wrist joint as a result of the damage to the ligaments and cartilage at the time of the injury. This type of arthritis is called “post traumatic” or “secondary” osteoarthritis, and gives rise to increased pain and stiffness of the wrist. You can read more about arthritis of the wrist joint here.

© Fife Hand Service 2023